上顎前突
上顎前突case1. 10代女性(治療期間4年11か月)| 主訴 | 前歯が出ている(審美障害) |
|---|---|
| 診断名 | 上顎前突、過蓋咬合、空隙歯列弓 |
| 初診時年齢 | 9歳5か月 |
| 性別 | 女性 |
| 動的治療期間 | 4年11か月 |
| 主な矯正装置 | 咬合斜面板、アクティブプレート、ヘッドギア、マルチブラケット装置 |
| 抜歯/非抜歯 | 非抜歯 |
| 治療費用(税込) | 検査診断:44,000円 装置料:550,000円 調節料:5,500円×54回 |
| 副作用とリスク | 成長期からの治療(早期治療)になるので、治療期間が長くなります。そのため、患者さんの協力が非常に重要になります。 |
治療前

治療後

上顎前突case2. 10代男性(治療期間2年9か月)
| 主訴 | ①前歯が出ている(審美障害)②サ行が言いづらい③唇が閉じづらい |
|---|---|
| 診断名 | 上顎前突、過蓋咬合 |
| 初診時年齢 | 14歳9か月 |
| 性別 | 男性 |
| 動的治療期間 | 2年9か月 |
| 主な矯正装置 | マルチブラケット装置、リンガルアーチ |
| 抜歯/非抜歯 | 上顎両側4番 |
| 治療費用(税込) | 検査診断:44,000円 装置料:440,000円 調節料:5,500円×25回 |
| 副作用とリスク | マルチブラケット装置は歯みがきが難しく、むし歯や歯肉炎になりやすい。歯を動かすと歯根が短くなることがある。 |
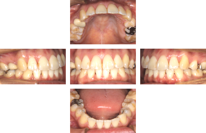
治療前

治療後

上顎前突case3. 10代女性(治療期間4年7か月)
| 主訴 | ①上の前歯が出ている(審美障害)②唇が閉じづらい |
|---|---|
| 診断名 | 上顎前突、過蓋咬合、叢生 |
| 初診時年齢 | 12歳0か月 |
| 性別 | 女性 |
| 動的治療期間 | 4年7か月 |
| 主な矯正装置 | ヘッドギア、2 by 4装置、咬合挙上板、マルチブラケット装置 |
| 抜歯/非抜歯 | 上顎両側5番 |
| 治療費用(税込) | 検査診断:44,000円 装置料:550,000円 調節料:5,500円×43回 |
| 副作用とリスク | 成長期からの治療(早期治療)になるので、治療期間が長くなります。そのため、患者さんの協力が非常に重要になります。 |
治療前

治療後

上顎前突case4. 10代女性(治療期間2年11か月)
| 主訴 | ①前歯が出ていることと歯が凸凹(審美障害)②口呼吸③前歯でかみ切れない |
|---|---|
| 診断名 | 上顎前突 |
| 初診時年齢 | 14歳5か月 |
| 性別 | 女性 |
| 動的治療期間 | 2年11か月 |
| 主な矯正装置 | マルチブラケット装置、ヘッドギア、リンガルアーチ |
| 抜歯/非抜歯 | 上下顎両側4番 |
| 治療費用(税込) | 検査診断:44,000円 装置料:440,000円 調節料:5,500円×36回 |
| 副作用とリスク | マルチブラケット装置は歯みがきが難しく、むし歯や歯肉炎になりやすい。ヘッドギアの使用時間が少ない場合は治療結果が不十分になることがあります。 |
治療前

治療後

上顎前突case5. 10代男性(治療期間4年2か月)
| 主訴 | ①前歯をよくぶつける②唇が閉じづらい③話しづらい |
|---|---|
| 診断名 | 上顎前突、空隙歯列弓 |
| 初診時年齢 | 8歳11か月 |
| 性別 | 男性 |
| 動的治療期間 | 4年2か月 |
| 主な矯正装置 | ヘッドギア、2 by 4装置、マルチブラケット装置 |
| 抜歯/非抜歯 | 非抜歯 |
| 治療費用(税込) | 検査診断:44,000円 装置料:550,000円 調節料:5,500円×43回 |
| 副作用とリスク | 成長期からの治療(早期治療)になるので、治療期間が長くなります。そのため、患者さんの協力が非常に重要になります。 |
治療前

治療後

上顎前突case6. 10代女性(治療期間1年11か月)
| 主訴 | ①歯並びが気になる |
|---|---|
| 診断名 | 上顎前突、叢生 |
| 初診時年齢 | 12歳8か月 |
| 性別 | 女性 |
| 動的治療期間 | 1年11か月 |
| 主な矯正装置 | マルチブラケット装置、リンガルアーチ |
| 抜歯/非抜歯 | 上顎両側4番 |
| 治療費用(税込) | 検査診断:44,000円 装置料:440,000円 調節料:5,500円×20回 |
| 副作用とリスク | マルチブラケット装置は歯みがきが難しく、むし歯や歯肉炎になりやすい。歯を動かすと歯根が短くなることがある。 |
治療前

治療後

上顎前突case7. 10代女性(治療期間3年10か月)
| 主訴 | ①前歯が出ている②前歯でかみ切れない |
|---|---|
| 診断名 | 上顎前突、過蓋咬合 |
| 初診時年齢 | 10歳5か月 |
| 性別 | 女性 |
| 動的治療期間 | 3年10か月 |
| 主な矯正装置 | ヘッドギア、側方拡大装置、リンガルアーチ、マルチブラケット装置 |
| 抜歯/非抜歯 | 上下顎両側4番 |
| 治療費用(税込) | 検査診断:44,000円 装置料:550,000円 調節料:5,500円×36回 |
| 副作用とリスク | 成長期からの治療(早期治療)になるので、治療期間が長くなります。そのため、患者さんの協力が非常に重要になります。 |
治療前

治療後

上顎前突case8. 20代女性(治療期間3年9か月)
| 主訴 | ①歯並びが気になる(審美障害)②唇が閉じづらい③話しづらい |
|---|---|
| 診断名 | 上顎前突、叢生 |
| 初診時年齢 | 25歳4か月 |
| 性別 | 女性 |
| 動的治療期間 | 3年9か月 |
| 主な矯正装置 | ディスタルジェット、マルチブラケット装置、リンガルアーチ |
| 抜歯/非抜歯 | 上顎両側7番、上下顎両側4番 |
| 治療費用(税込) | 検査診断:44,000円 装置料:440,000円 調節料:5,500円×40回 |
| 副作用とリスク | マルチブラケット装置は歯みがきが難しく、むし歯や歯肉炎になりやすい。歯を動かすと歯根が短くなることがある。 |
治療前

治療後




