叢生
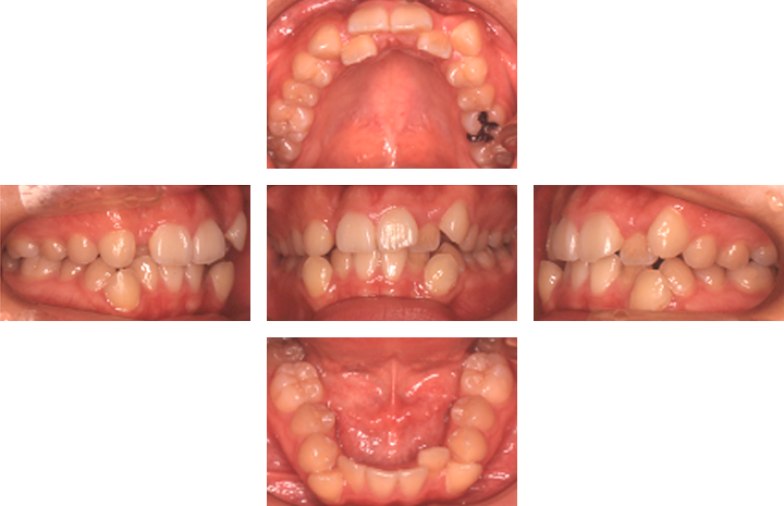
叢生case1. 10代女性(治療期間3年3か月)| 主訴 | ①歯並びが悪い(審美障害)②歯みがきがしづらい |
|---|---|
| 診断名 | 叢生 |
| 初診時年齢 | 11歳4か月 |
| 性別 | 女性 |
| 動的治療期間 | 3年3か月 |
| 主な矯正装置 | リンガルアーチ、セクショナルアーチ、マルチブラケット装置 |
| 抜歯/非抜歯 | 上下顎両側4番(連続抜去) |
| 治療費用(税込) | 検査診断:44,000円 装置料:440,000円 調節料:5,500円×38回 |
| 副作用とリスク | 固定式の矯正装置は歯みがきがしにくいためにむし歯や歯肉炎になりやすい。また、話しづらくなったり食べづらくなったりします。 |
治療前

治療後

叢生case2. 10代女性(治療期間1年11か月)
| 主訴 | ①歯並びが悪い(審美障害)②歯みがきがしづらい |
|---|---|
| 診断名 | 叢生、前歯部交叉咬合 |
| 初診時年齢 | 17歳8か月 |
| 性別 | 女性 |
| 動的治療期間 | 1年11か月 |
| 主な矯正装置 | マルチブラケット装置、リンガルアーチ |
| 抜歯/非抜歯 | 上下顎両側4番 |
| 治療費用(税込) | 検査診断:44,000円 装置料:440,000円 調節料:5,500円×21回 |
| 副作用とリスク | マルチブラケット装置は歯みがきが難しく、むし歯や歯肉炎になりやすい。歯を動かすと歯根が短くなることがある。 |
治療前

治療後

叢生case3. 10代男性(治療期間5年11か月)
| 主訴 | ①前歯の歯並びが気になる(審美障害) |
|---|---|
| 診断名 | 叢生、交叉咬合 |
| 初診時年齢 | 8歳9か月 |
| 性別 | 男性 |
| 動的治療期間 | 5年11か月 |
| 主な矯正装置 | リンガルアーチ、アクティブプレート、セクショナルアーチ、ヘッドギア、マルチブラケット装置 |
| 抜歯/非抜歯 | 非抜歯 |
| 治療費用(税込) | 検査診断:44,000円 装置料:440,000円 調節料:5,500円×46回 |
| 副作用とリスク | 成長期からの治療(早期治療)になるので、治療期間が長くなります。そのため、患者さんの協力が非常に重要になります。 |
治療前

治療後

叢生case4. 10代女性(治療期間2年5か月)
| 主訴 | ①歯並びが悪い(審美障害)②歯みがきがしづらい |
|---|---|
| 診断名 | 叢生 |
| 初診時年齢 | 16歳10か月 |
| 性別 | 女性 |
| 動的治療期間 | 2年5か月 |
| 主な矯正装置 | マルチブラケット装置、リンガルアーチ |
| 抜歯/非抜歯 | 上下顎両側4番 |
| 治療費用(税込) | 検査診断:44,000円 装置料:440,000円 調節料:5,500円×25回 |
| 副作用とリスク | マルチブラケット装置は歯みがきが難しく、むし歯や歯肉炎になりやすい。歯を動かすと歯根が短くなることがある。 |
治療前

治療後

叢生case5. 10代女性(治療期間1年6か月)
| 主訴 | ①歯並びが悪い(審美障害)②歯みがきがしづらい |
|---|---|
| 診断名 | 叢生 |
| 初診時年齢 | 12歳10か月 |
| 性別 | 女性 |
| 動的治療期間 | 1年6か月 |
| 主な矯正装置 | マルチブラケット装置、リンガルアーチ |
| 抜歯/非抜歯 | 上下顎両側4番 |
| 治療費用(税込) | 検査診断:44,000円 装置料:440,000円 調節料:5,500円×16回 |
| 副作用とリスク | マルチブラケット装置は歯みがきが難しく、むし歯や歯肉炎になりやすい。歯を動かすと歯根が短くなることがある。 |
治療前

治療後

叢生case6. 10代女性(治療期間2年9か月)
| 主訴 | ①歯並びが凸凹(審美障害)②歯みがきがしづらい③食べ物がはさまりやすい |
|---|---|
| 診断名 | 叢生、骨格性Ⅱ級 |
| 初診時年齢 | 19歳0か月 |
| 性別 | 女性 |
| 動的治療期間 | 2年9か月 |
| 主な矯正装置 | マルチブラケット装置、大臼歯遠心移動装置、リンガルアーチ |
| 抜歯/非抜歯 | 上下顎両側4番、上顎両側7番 |
| 治療費用(税込) | 検査診断:44,000円 装置料:440,000円 調節料:5,500円×34回 |
| 副作用とリスク | 大臼歯遠心移動装置を使いますので治療期間が長くなることがあります。マルチブラケット装置は歯みがきがしづらいためむし歯や歯周炎になりやすい。 |
治療前

治療後

叢生case7. 10代女性(治療期間2年1か月)
| 主訴 | ①前歯の歯並びが悪い(審美障害) |
|---|---|
| 診断名 | 叢生 |
| 初診時年齢 | 13歳9か月 |
| 性別 | 女性 |
| 動的治療期間 | 2年1か月 |
| 主な矯正装置 | マルチブラケット装置、リンガルアーチ |
| 抜歯/非抜歯 | 上顎両側4番と下顎両側5番 |
| 治療費用(税込) | 検査診断:44,000円 装置料:440,000円 調節料:5,500円×23回 |
| 副作用とリスク | マルチブラケット装置は歯みがきが難しく、むし歯や歯肉炎になりやすい。歯を動かすと歯根が短くなることがある。 |
治療前

治療後

叢生case8. 10代女性(治療期間1年11か月)
| 主訴 | ①歯並びが気になる(審美障害) |
|---|---|
| 診断名 | 叢生 |
| 初診時年齢 | 12歳1か月 |
| 性別 | 女性 |
| 動的治療期間 | 1年11か月 |
| 主な矯正装置 | マルチブラケット装置、リンガルアーチ |
| 抜歯/非抜歯 | 上顎両側4番と下顎両側5番 |
| 治療費用(税込) | 検査診断:44,000円 装置料:440,000円 調節料:5,500円×25回 |
| 副作用とリスク | マルチブラケット装置は歯みがきが難しく、むし歯や歯肉炎になりやすい。歯を動かすと歯根が短くなることがある。 |
治療前

治療後

叢生case9. 20代男性(治療期間3年11か月)
| 主訴 | ①歯並びが悪い(審美障害)②歯みがきがしづらい③食べづらい |
|---|---|
| 診断名 | 叢生 |
| 初診時年齢 | 28歳2か月 |
| 性別 | 男性 |
| 動的治療期間 | 3年11か月 |
| 主な矯正装置 | マルチブラケット装置、クワドヘリクス装置、リンガルアーチ |
| 抜歯/非抜歯 | 上顎両側4番および下顎右側5番と左側4番 |
| 治療費用(税込) | 検査診断:44,000円 装置料:440,000円 調節料:5,500円×47回 |
| 副作用とリスク | マルチブラケット装置は歯みがきが難しく、むし歯や歯肉炎になりやすい。歯を動かすと歯根が短くなることがある。 |
治療前

治療後




